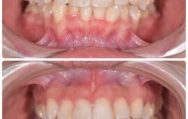
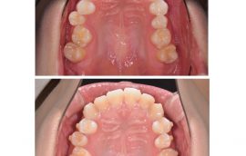
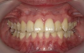
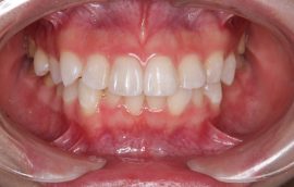
矯正ブログ 矯正ブログ 2025.11.08 当院のインビザライン矯正に新プランが導入されます! お知らせ 2025.11.04 11/29(土)第二回マウスピース矯正無料相談会 開催決定! 矯正ブログ 2025.10.28 マウスピース小児矯正 症例その④ 矯正ブログ 2025.10.01 マウスピース小児矯正 症例その③ 矯正ブログ 2025.09.02 マウスピース小児矯正 症例その② 矯正ブログ 2025.07.10 マウスピース小児矯正 症例その① 矯正ブログ 2024.10.24 インビザラインチームをご紹介します 矯正ブログ 2024.10.17 インビザライン症例④ 矯正ブログ 2024.10.10 IPRという処置 矯正ブログ 2024.10.03 iTero(アイテロ) 矯正ブログ 2024.09.19 インビザライン矯正の特長 矯正ブログ 2024.09.12 インビザラインの流れ 矯正ブログ 2024.09.05 当院のインビザライン公式LINEをご存知ですか? 矯正ブログ 2024.08.29 デンタルローンをご存知ですか? 矯正ブログ 2024.08.22 インビザライン症例③ 矯正ブログ 2024.08.08 インビザライン症例② 矯正ブログ 2024.08.01 インビザライン症例① 矯正ブログ 2023.03.15 【矯正ブログ】スタッフ青木編⑤:インビザライン矯正8ヶ月後 矯正ブログ 2023.03.08 【矯正ブログ】スタッフ青木編④:インビザライン矯正6ヶ月後 矯正ブログ 2023.03.02 【矯正ブログ】スタッフ奥村編⑤:治療1年半後の歯並びの経過 矯正ブログ 2023.03.01 【矯正ブログ】スタッフ青木編③:インビザライン矯正その後の経過 矯正ブログ 2023.01.05 【矯正ブログ】スタッフトイ編⑥:マウスピース矯正『インビザライン』治療完了! 矯正ブログ 2022.11.01 【矯正ブログ】スタッフ川端編⑧:補助道具『チューイー』 矯正ブログ 2022.09.06 【矯正ブログ】スタッフ川端編⑦:圧痛(インビザライン6ヶ月目) Dr.ブログ 2022.09.03 インビザライン終了患者様 矯正ブログ 2022.04.28 【矯正ブログ】スタッフ川端編⑥:マウスピースの洗浄方法(インビザライン5ヶ月目) Dr.ブログ 2022.03.19 私の前歯の変化 矯正ブログ 2022.03.16 【矯正ブログ】スタッフ奥村編④:現在の歯並びの経過 矯正ブログ 2021.12.27 【矯正ブログ】スタッフ奥村編③:矯正期間中のお口のケア方法 矯正ブログ 2021.11.30 【矯正ブログ】スタッフ奥村編②:マウスピースの装着 矯正ブログ 2021.11.30 【矯正ブログ】スタッフ青木編②:インビザライン矯正治療3ヶ月目 矯正ブログ 2021.10.27 【矯正ブログ】ドクター吉村編① インビザライン矯正スタート! 矯正ブログ 2021.10.19 【矯正ブログ】スタッフ奥村編①:インビザライン矯正スタート 矯正ブログ 2021.09.15 【矯正ブログ】スタッフ川端編⑤:インビザライン矯正治療から4ヶ月目 矯正ブログ 2021.09.01 【矯正ブログ】スタッフ青木編①:インビザライン矯正スタート 矯正ブログ 2021.08.15 【矯正ブログ】スタッフトイ編⑤:マウスピース矯正『インビザライン』最終調整突入! 矯正ブログ 2021.07.15 【矯正ブログ】スタッフ川端編④:インビザライン矯正治療から3ヶ月目 Dr.ブログ 2021.06.26 インビザライン 矯正ブログ 2021.06.15 【矯正ブログ】スタッフトイ編④:マウスピース矯正『インビザライン』80日目経過&… 矯正ブログ 2021.05.15 【矯正ブログ】スタッフ川端編③:インビザライン矯正治療から2ヶ月目 1 / 212» ヨリタコラム お知らせ院長ブログDr.ブログ矯正ブログ管理栄養士ブログ赤ちゃん歯科ブログスタッフブログワクワク楽しいセミナー紹介ワクワク楽しい経営日記カムカムニュースメディア情報ヨリタ食堂ヨリタマニア 歯科豆知識 インプラントの豆知識一般歯科の豆知識予防歯科の豆知識審美歯科の豆知識小児歯科の豆知識歯周病の豆知識矯正の豆知識