【矯正ブログ】スタッフ青木編①:インビザライン矯正スタート
皆さんこんにちは、
歯科衛生士の青木です。
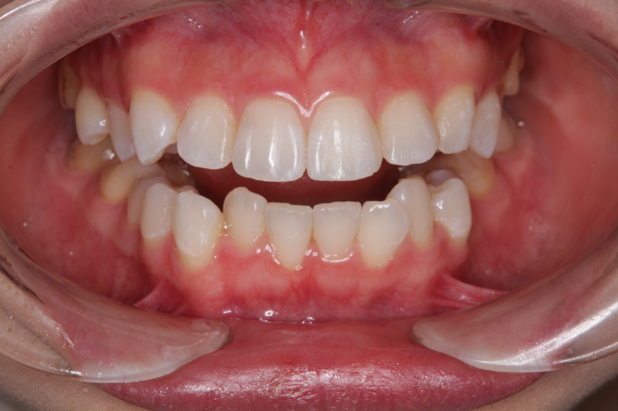
今回インビザライン矯正を、8月から始めさせて頂いています。
元々自分の歯並びに、あまり悩んだ事はありませんでした。
見た目はそんなに悪くないし、ご飯を食べるのも噛みにくいなどと
感じたことはありませんでした。
なので矯正することを周りに話すと、
「そんなに歯並び悪いっけ??」
と言われる事が多いです。
しかし、
歯科衛生士として働きだしてから、
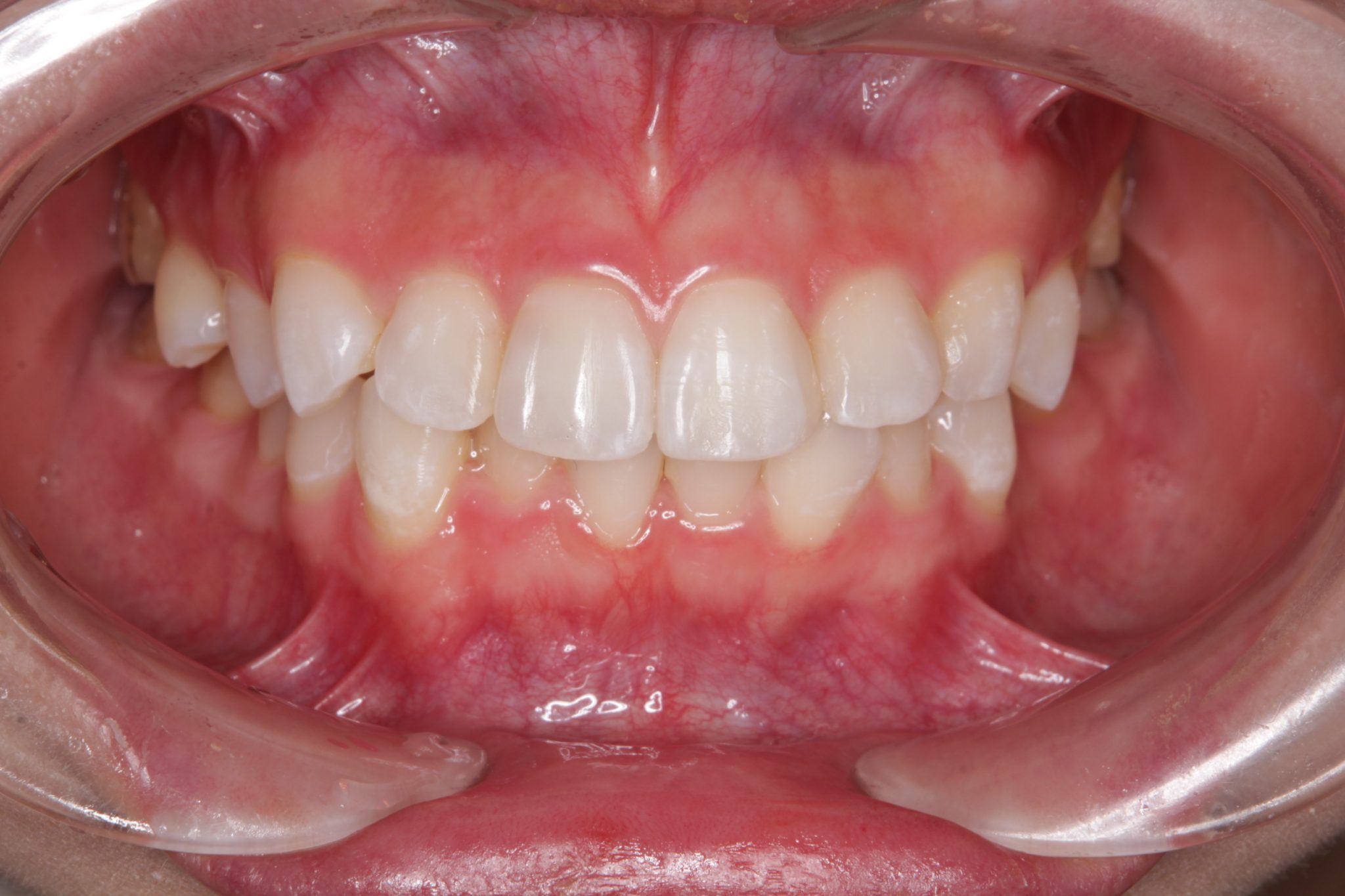
お口の写真を撮る相互練習をしていて、自分の歯並びを客観的に見ると
見た目は良くても奥歯にスペースが無く、歯が凸凹していたり
その並びによって噛み合っていない歯があることを知りました。
歯並びが悪いと歯周病が進みやすかったり、
噛み合っていないと他の歯に負荷がかかって
その歯が揺れてきてしまったりします。
怖いですよね。
ずっと健康な歯で美味しくご飯が食べたいですし
色々経験することで、患者様にも体験談としてお話できるので、
まだまだ始まったばかりですが、どんな風に変わっていくか楽しみです。
インビザラインや矯正自体を、身近に感じて頂けるよう
これから発信していきたいと思いますので、よろしくお願いします!
↓矯正前の口腔内写真はコチラ







































































初回予約はこちら

採用情報