治療編
こんにちは。
衛生士の森岡です。

先日、セラミックインレーを入れていただきました。
恥ずかしながら幼少期から、虫歯が多かった私の口内は詰め物がいっぱい。
金属の詰め物やプラスチックの詰め物やら…
衛生士になってからは歯磨きをしっかりするようになり、虫歯の発生率は
減りましたが、昔に入れた詰め物が割れたり、取れてきてしまい
今回治療していただく事になりました。
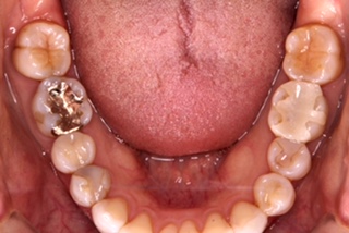
今回の治療は、右(この写真では左)の1番奥の金属、
奥から3番目はプラスチックが欠けてしまったので
セラミックにしてもらいました。

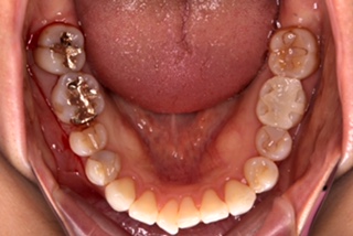
どうですか?
本来の歯と変わらないくらいに、綺麗に入れていただきました。
見た目もさる事ながらセラミックは強度が強く、表面がツルツルなので
汚れも付きにくく、金属と違い熱の影響なども受けにくい為
接着部の歪み生じにくく、外れたり、隙間から再び虫歯になるリスクを
下げれます。
費用面の事だけで懸念されがちですが、こう言ったメリットや
詰め物のやり直しを繰り返す事での自身の歯への負担を考えると
セラミックを選ぶ価値が上がりました。
今後治療なさる皆さんも、ぜひ参考にしてみてください。
私も残り1本金属の歯が気になります…
|
【参考】 ■口腔内の症状及び治療内容 ■治療によるリスク ■費用 |
<歯科衛生士 森岡>





































































初回予約はこちら

採用情報