【矯正ブログ】スタッフ奥村編④:現在の歯並びの経過
こんにちは!
歯科衛生士の奥村です⊂( ・ω・ )⊃
今回で、4回目の更新になります。
今回は、現在の歯並びの経過についてです。
下の前歯のガタつきと、上の前歯が前に出ているのが気になっていました。
あとは、左下の後ろから2番目の歯が
内側に倒れているのも、噛み合わせ上良くありません。
奥歯でカチッと噛んでも、いつも浮いた感じがありました。
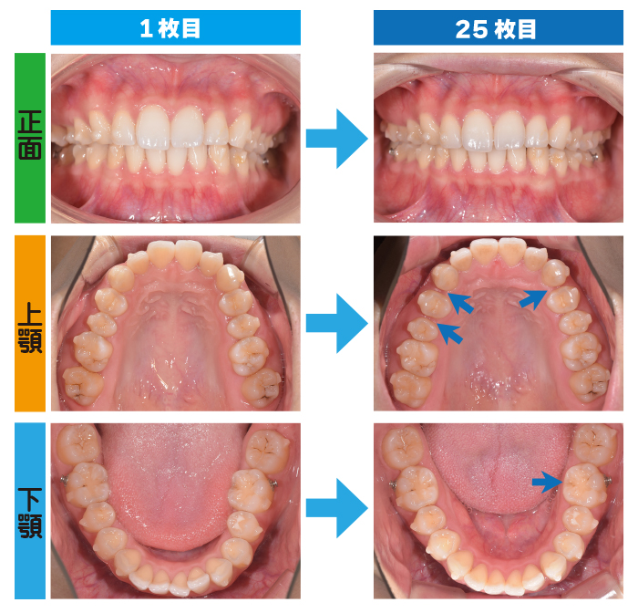
始めた時のマウスピース1枚目が左です。
現在25枚目の歯並びが、右側です。

上は、後ろの歯から1本ずつ後ろに動かして、スペースを作っている最中です。
今は前から5番目と4番目に、隙間が空いている状態です。
下は、後ろの歯がある程度動き終わり、これから下の前歯が並んでいく段階です。
1枚目と比べても気になっていた左下の2番目の歯も、
かなり外側に動いているのが分かりますよね♩
写真で記録に残すと、歯並びがどんどん変わってきているのが
目に見えて分かるので、モチベーションに繋がります(*´ω`*)
まだまだ途中段階ですが、今後もインビザ矯正頑張っていきたいと思います!
<歯科衛生士 奥村>





































































初回予約はこちら

採用情報