インビザライン終了患者様
こんにちは。歯科医師の吉村です。

本日は、最近インビザラインによる矯正を終了した患者様についてのお話です。
この患者様は、前歯の間が開いていることが気になるということで、
インビザライン(ライトコース)での改善をご提案しました。
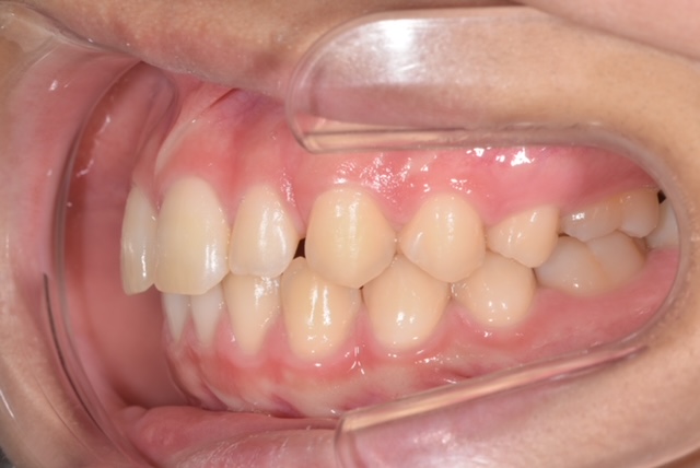
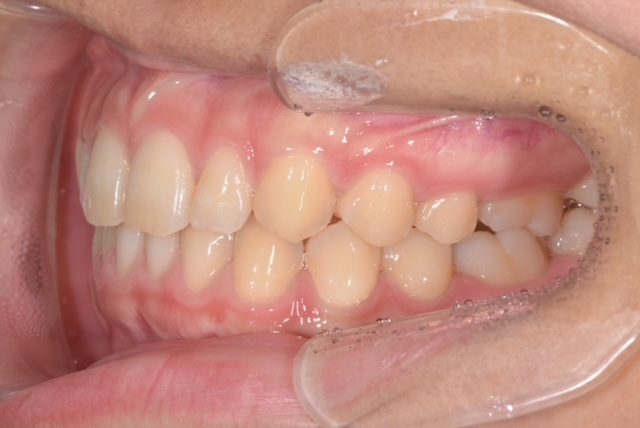
下の写真が、インビザライン矯正前の、前からと左側からの写真です。

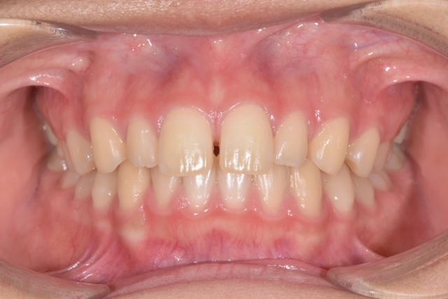
そして矯正後の写真がこちら。期間は約5ヶ月です。

※写真は、患者様のご了承を頂いています。
治療期間:約5ヶ月
費用:55万円(税込)※ライトコース(咬み合わせ等、ズレが少ない方のみ適用)
舌癖があるため、MFT(口腔筋機能療法)を並行して行っています。
上の前歯の隙間がなくなり、笑顔が大きく改善しました。
後戻りに気をつけながら、経過を見ていく必要がありますが、
変化を喜んでくださり、私もすごく嬉しかったです。
歯並びに悩んでいらっしゃる方は、一度ご相談ください。





































































初回予約はこちら

採用情報