【矯正ブログ】スタッフ青木編②:インビザライン矯正治療3ヶ月目
こんにちは!
歯科衛生士の青木です!
8月から始めたインビザラインも
丸3ヶ月が経ちました。
あまり正面から見た変化に自覚はありませんでしたが、
上の歯の並びの写真を見た時に、歯列弓(歯並びの描く曲線)が
広がっているのを見て嬉しくなりました。
こんなにも変化するものなのかと、驚きです。
私生活での変化は、歯と歯の間にスペースを作っていることで
繊維のあるお肉などとても詰まりやすくなりました。
それまでのセルフケアではフロス(糸ようじ)を使っていましたが、
糸ようじだけでは取りきれない、少し大きめの汚れなどは歯間ブラシを
使いながら併用してセルフケアをするようになりました。
マウスピースを付けていることにも慣れてきて、
付けていないと歯が元に戻ってしまわないか不安になります。
マウスピースを付けることによって、少なくとも虫歯のリスク自体は上がるので、
コツコツ自分の歯を大切にしながら、続けていきたいと思います!

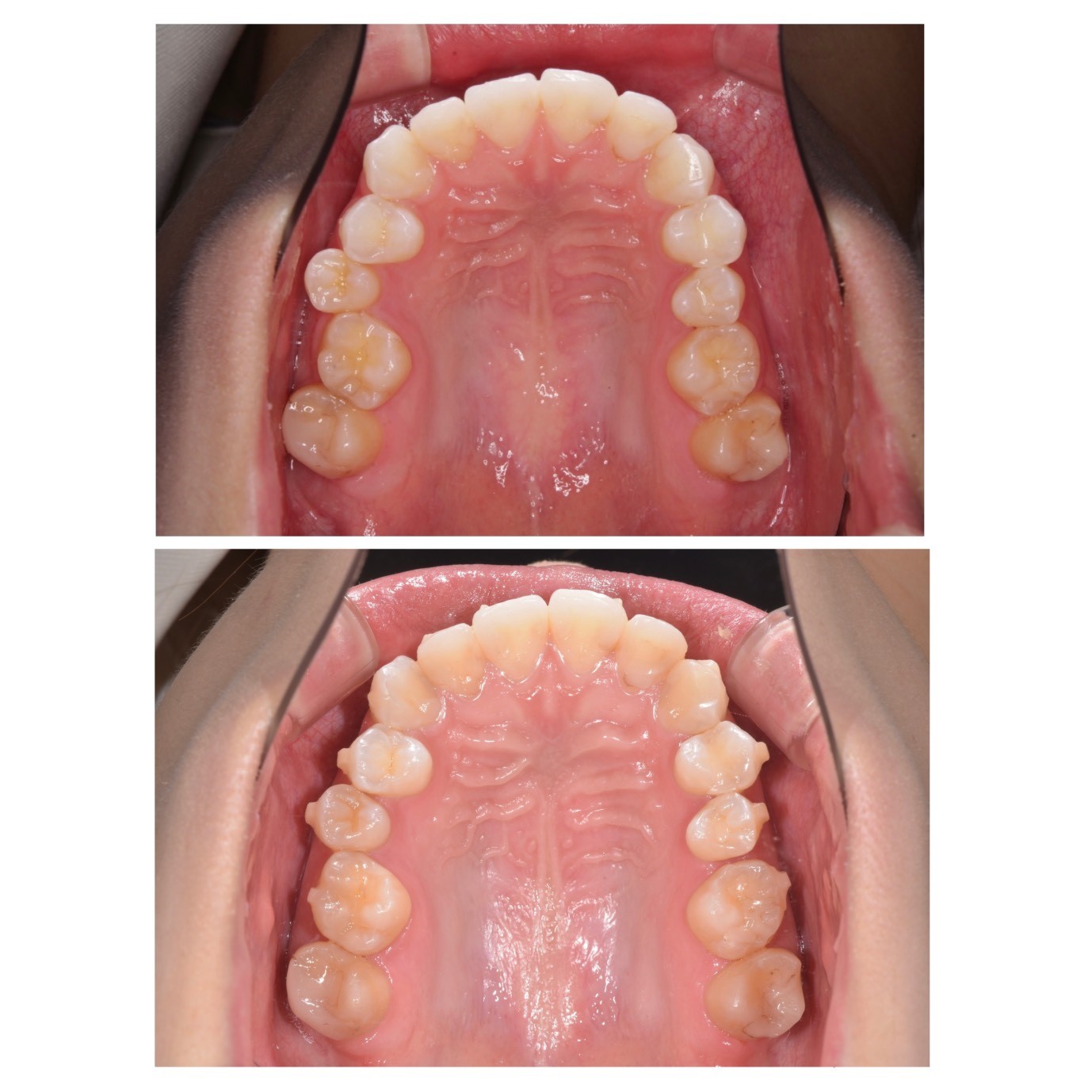
上の画像がインビザラインを始める前の上の歯の前の写真、
下の画像が3ヶ月経過した写真です。
左の飛び出ていた歯が内に移動してきていたり、
真ん中でくびれていた歯の並びが
ふっくらしてきています。
<歯科衛生士 青木>





































































初回予約はこちら

採用情報