【矯正ブログ】スタッフトイ編⑤:マウスピース矯正『インビザライン』最終調整突入!
こんにちは。
ヨリタ歯科クリニック
デンタルコーディネーターのトイです。
その後もオルソパルスも併用しながら、特に大きな変化や問題もなく
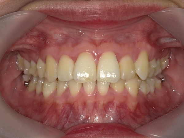
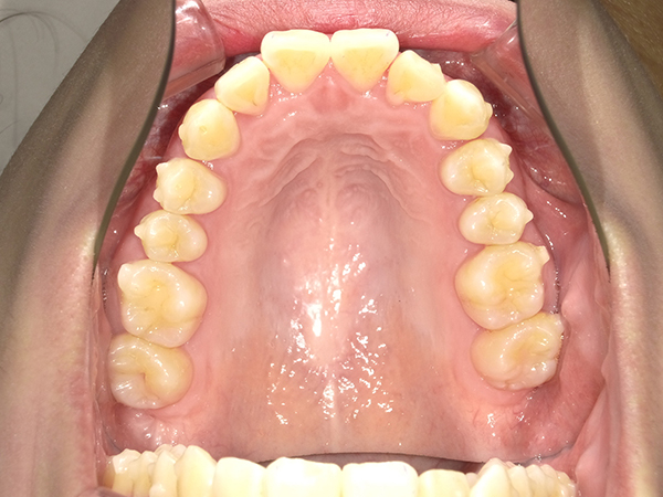
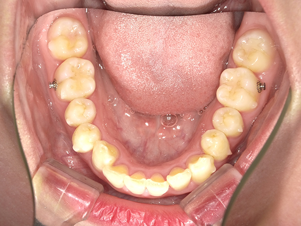
順調に矯正が進んでいき、2020年11月の時点でここまで並んできました。



前回の記事に載せていた、上の歯の隙間も見事に閉じて綺麗になってきました。
噛み合わせ、もだいぶ変わりましたよね!
私は噛み合わせが深く、かちっと噛んだ時下の歯が見えなかったのですが
だいぶ下の歯が見えるようになっています。
また、ブラッシングも圧倒的にしやすくなった為か
歯肉の色や形も綺麗になってきました。
でも実は、私の矯正は、ここからがクライマックス!
一番気になっている、上下 前歯たちの整列が始まります|( ̄3 ̄)|
次回の更新は
予定している52/52枚目の
最後のマウスピースが終わってからになります。
おたのしみに〜〜♥♥♥
<デンタルコーディネーター トイ>





































































初回予約はこちら

採用情報