【矯正ブログ】スタッフトイ編③:マウスピース矯正『インビザライン』31日目までの変化
こんにちは。
ヨリタ歯科クリニック
デンタルコーディネーターのトイです。
今日は矯正2週間目に起こった、初のハプニングと
31日目までの変化をお伝えしていこうと思います。
★14日目のお昼、
マウスピースを洗浄しようとしたら、下のマウスピースに亀裂が!!!!
今朝から特に違和感がなかったので、全然気が付かなかったです…
割れた原因はおそらく、取り外す際にその部分から
捻るように外していたせいかと(´-`).。oO
付け外しのやり方も
しっかりと教わっていたのにも関わらず
慣れてきて自己流でやってしまっていたことに反省…
皆さんも、正しく取り外ししてくださいね!
ちょうど翌日から新しいマウスピースに
変える予定だったので事なきを得ました。
★20日目
マウスピースの咬合面が削れてきていることに気が付きました。
私は元々、寝ている時に歯ぎしりの癖があったので
そのせいかと思われます。
アライナーが、寝る時に装着する歯ぎしり食いしばり防止装置の
ナイトガード代わりにもなっているようですʅ(◞‿◟)ʃ
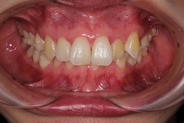
★そして22日目になり、
アタッチメントをつけました!
歯に細かく力を加えて動かすためのもので、
虫歯治療などで使うものと同じ、レジン素材を
歯一つ一つにつけていきました。
マウスピースを外すと
レジンがほっぺたに当たってる感じがあるけど、
普段はマウスピースをしているので違和感はないし
この感覚はすぐに慣れそう!
ところが、
アタッチメントの凹凸のせいで
マウスピースの付け外しはスムーズにいかず
かなり練習と慣れが必要そう!
それと
食事の時は、アタッチメントに多少はものがひっかかるので、
今まで以上に丁寧なブラッシングが必要になりそう。
アタッチメントがついた写真が、こちら。




ぽつぽつと小さなものが並んでついていて
ちょっとかわいいです。笑
次回もお楽しみに〜〜♥♥♥
<デンタルコーディネーター トイ>





































































初回予約はこちら

採用情報