歯のPMTC
もうすぐ梅雨入りしそうですね。
今週末は天気もいいみたいで、梅雨前最後の晴れ間ですかね。
どうも、オートミールばかり食べている入江です。

いきなりですが

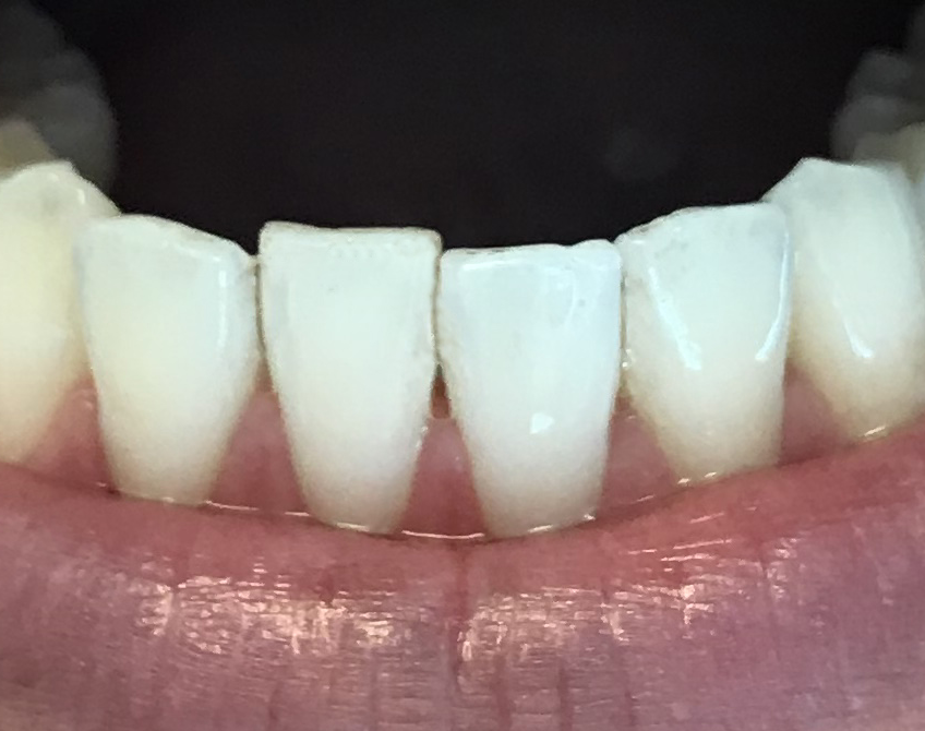
誰の歯でしょう。
正解は、、、
そうです、僕の下の前歯です。
虫歯ではないですが、かなり着色がついてしまっています。
コーヒーをしょっちゅう飲んでいるので、その影響だと思います。
着色がひどいので衛生士さんに綺麗にしてもらいます。
この汚れは自宅の歯ブラシではとることができません。
歯科医院で専用の器具を使って、綺麗にしていきます。

見事に綺麗な前歯になりました。
まさにプロの技ですね。
痛みもなくとても気持ち良かったです。
コーヒーなどによる着色も、ヨリタ歯科クリニックでは除去できます。
夏を前に白く輝く歯になるために、よければおこしください。





































































初回予約はこちら

採用情報