【矯正ブログ】スタッフ川端編③:インビザライン矯正治療から2ヶ月目
こんにちは!
トリートメントコーディネーター兼矯正エデュケーターの川端です(*^_^*)

インビザラインを始めて、2ヶ月が経ちました!
マウスピースのつけ外しや、洗ったりすることにも慣れ、
だんだん生活の一部になってきました!
患者様にも、私マウスピース矯正してるんです。
と、はめているところをお見せする機会がありますが、
皆さん
「え、全然分からない!」
「こんな矯正あるんですね~!」
「見た目分からないなら、していきたい!」
というお声をいただきました(*^_^*)
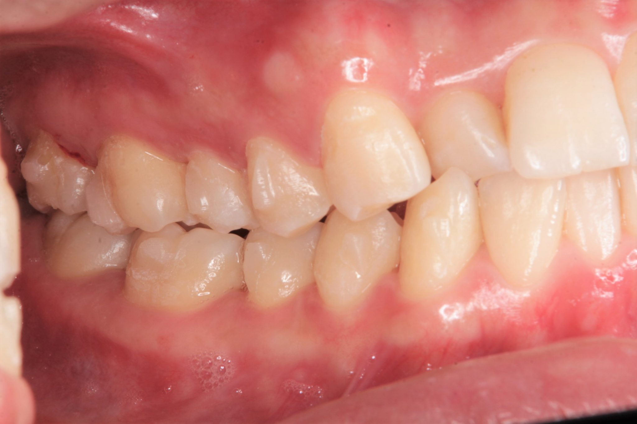
アタッチメントもつけて、凹凸の部分もありますが、
周りの方の反応も
「全然分からない」
「言われてみれば、分かるくらい!」
という感じなので、見た目も安心です(^_^)
気になるところは?と考えると
歯の表面につけるものなので、ぶつぶつな感じが、着けてすぐは感じるくらいです。
その違和感も、マウスピースをつけると全然気になりません。
なので、アタッチメントをつけた後の食事中に
“いつもとちょっと違う…?” と気になるかもしれません。
また、アタッチメントは、歯並びや動かしたいところによって
つける歯の場所や、形、個数も変わってきます。
なので、感じるところも変わってはくるかもしれませんが、
擦れて痛むことがあったりすれば、いつでもご相談くださいね(*^_^*)
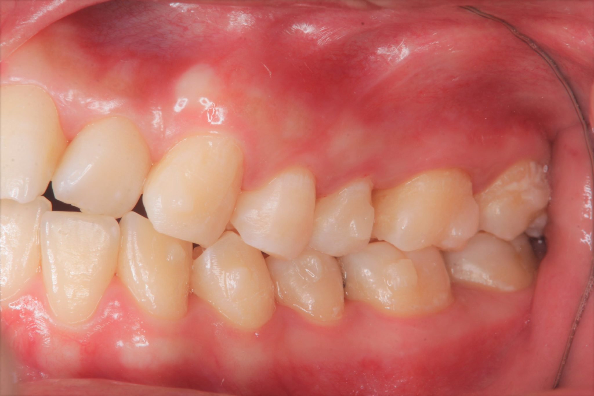
アタッチメントともう一つ、一緒に『IPR』という
歯と歯の間を少し削る、という処置もしました!
矯正では歯を削っても良い範囲があり、その中でほんの少しずつ削るので、
見た目が変わったり、しみたりすることもないので安心してくださいね(*^_^*)
IPRをした日は、隙間が出来ているので、食べ物がつまりやすくなっていました(笑)
なので、歯磨きだけでなく、フロスも必要です。
しっかり通していかないと虫歯に~((+_+))
…ってことには出来ればなりたくないので
今まで以上に、フロスなど頑張っていきたいと思います!
アタッチメントは、こんな感じの物です↓


次回はアタッチメントとIPRをしてから、変わったこと等書いていきます(*^_^*)
<トリートメントコーディネーター兼矯正エデュケーター 川端みずき>





































































初回予約はこちら

採用情報