【矯正ブログ】スタッフ奥村編⑤:治療1年半後の歯並びの経過
こんにちは!
歯科衛生士の奥村です。
今回で5回目の更新になります!
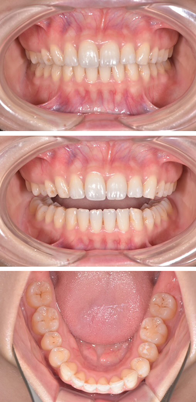
本日は、矯正を始めて約1年半経過した現在の状態について
お話ししたいと思います!

現在は、一周目の発注の枚数が終わり、
追加アライナー(追加マウスピース)の10枚目になります。
※前回、アライナー25枚目の時の記事と画像はこちら⇒ ★
一周目である程度理想までは持っていく事が出来たのですが、
もう少し前歯を後ろに下げたかったのと、歯の間が空いているところが
あったので、そこの微調整の為追加アライナーを先生にお願いしました。
歯の間の空いているスペースを生かし、IPR(歯を削る処置)をせずに
後ろに歯を動かして前歯を下げる計画です。
出来るだけ歯を削らない方法で、計画を考えて下さる
担当ドクターの吉村先生、流石ですね(*゚ー゚*)♡
私の矯正はこれからもまだ数枚続きますが、
インビザライン矯正をして本当に良かったと感じています。
目立ちにくい、歯磨きしやすいのは特に感じるメリットかなと感じますね(*^^*)
矯正を悩んでいる皆さんも、悩んでいることは
ヨリタスタッフが親身にお話を伺います。
メリット沢山のマウスピース矯正について、
是非前向きに考えてもらえたらなと思います(*´ω`*)
<歯科衛生士 奥村>





































































初回予約はこちら

採用情報