【矯正ブログ】スタッフトイ編⑥:マウスピース矯正『インビザライン』治療完了!
こんにちは。お久しぶりです!
ヨリタ歯科クリニック
デンタルコーディネーターのトイです。
2020年3月4日から
インビザライン矯正を始めた、私のマウスピース生活も
ついに終わりを迎えました。
マウスピース矯正は、私との相性が良かったようで
矯正中はまったく痛みもなく
なんのストレスもトラブルもなく
快適な1026日でした!
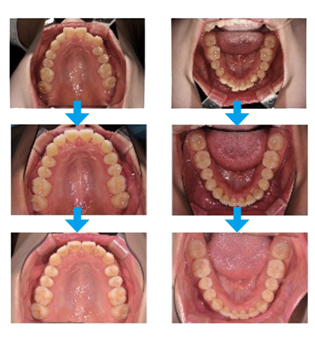
また、私の場合、2回ほど細かい修正を加えて
3クールで理想の歯並びまでもってくることができました。
担当ドクターとたくさん相談して
自分の気になっている部分を修正しつつ
正しく美しい噛み合わせになるように、頑張ってきました。

そして現在は、保定期間に入りました。
後戻りを防いでいる、大切な時期です。
一般的には、矯正期間と同じくらい(約2-3年)の
保定期間が必要といわれています。
後戻りのしやすさは
歯並びや口周囲の筋肉、舌癖などの影響を受けやすいので
個人差があると言われています。
ほぼ半永久的という声も、ネットでちらほら見かけますが
私も、せっかく綺麗にした歯並びなので
ほぼ半永久的にリテーナーは着け続けると思います。
やっぱり、後戻りはして欲しくないので…。
とは言っても、アライナーのように
日中ずっとつけているわけではなく
寝る時だけなので、ストレスはほぼありません!
安心です♪
これが私のリテーナーです!

インビザラインの保定装置で
ビベラリテーナーというものもありますが
私の場合は、ホーレータイプという
床がついたタイプのリテーナーです♬
リテーナーの種類も
担当ドクターと相談して決めることができます!
長いようで、短かった約3年間。
やはり最後に思うのは
【歯列矯正をして本当によかった】
ということです。
歯磨きをしやすくなったおかげで
歯肉のトラブルも減りましたし
それによって、歯の寿命を伸ばすことにも繋がりました。
また、歯並びがきれいになり、自分の笑顔に自信を持てるので
表情や気持ちまでも前向きに明るくなれました。
私の人生の中で、もっと早く矯正をしていたら…
と思うこともありましたが、やっぱり私は
“ヨリタ歯科で矯正をしてきた”
から 長い期間、頑張ってこれたと思います。
治療に真剣で、私の気持ち寄り添ってくれる
ドクター、衛生士さんと一緒だったから
やってこれた矯正だったと思っています。
なかなか矯正治療に踏み切れない、不安だなぁ という方でも
安心して任せていける!
一緒に力を尽くしてくれる仲間がいる!
そんなヨリタ歯科だから
歯列矯正をしてよかったと思えました。
私の矯正の軌跡のはずが
“ヨリタ歯科だからできたこと”
でまとまってしまいましたが
本当にそれが全て!な矯正の日々でした。
皆さんもぜひ歯列矯正で、人生を自分の世界を
もっとワクワクするものに変えてみませんか^^
| ※治療期間:2年10ヶ月 ※治療費用:88万円(税込)(相談料、検査費用、調整料、保定装置代込) ※治療によりデメリット: 装置を付けている時に、痛みが生じる場合がある。 インビザラインでは対応できない症例もある。 マウスピースをつけるだけではない。 歯を削らないといけない場合がある。 1日22時間以上装着し続ける必要がある。 噛み合わせが悪くなってしまうことがある。 マウスピースを自分で管理しなくてはいけない。 |
<デンタルコーディネーター トイ>





































































初回予約はこちら

採用情報