【矯正ブログ】スタッフ川端編⑦:圧痛(インビザライン6ヶ月目)
こんにちは。
トリートメントコーディネーター兼矯正エデュケーターの川端です(*^_^*)
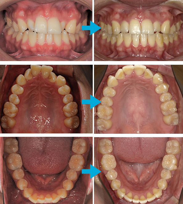
インビザラインを始めて、半年が経ちました!
前回写真でもお見せしてたように、笑った時の印象が
かなり変わってきたように感じます!
慣れてきた分、反省点も出てきました
実は、この前マウスピースをつけてくるのを忘れてしまいました。
本当にやってしまいました(T_T)
気づいたときには普通に出勤して、掃除まで始めていました…
もう、本当に、気づくのが遅すぎました(>_<)
ひとまず、すごく気になりながらもお仕事をしまして、
お昼休みに急いで取りに行きました!!
まだお家が近くて良かった(+_+)
もちろん外している時間が長くなってしまったので
お家に帰ってつけた時は、今までにない程痛みがありました(>_<)
歯を押していたマウスピースを外していた時間が長かったことで
歯が後戻りしており、マウスピースをつけるとギューっと押される
“圧痛”という痛みがきつく感じました。
普段痛みを特に感じていなかったので
なおさら「こんなに痛いくなるの⁉」とびっくりしてしまいました(゜゜)
痛みは少しずつ治まり、一時間もしないうちに忘れてしまっていました。
もうこれからは絶対忘れない!!と玄関に自分の鍵と一緒に
“マウスピース!!”と付箋を貼りました(笑)
みなさんも置いておいて忘れてた!!
とならないように、気を付けて下さい(^_^)
外食時に外したときが要注意です!
ティッシュなどにくるんでしまうと忘れがちなので
マウスピースのケースに入れておきましょう!
一番安心なのは、カバンの中に入れてしまうのが一番です!
見た目に分かりづらくて、痛みも少ない分
自分で頑張ることもたくさんありますが
もう少し頑張ってきれいにしていきたいと思います☆
半年後のビフォーアフターです( *´艸`)

次回はフィットしていない状態と、チューイーについて
お話していきたいと思います(*^ ^*)
<トリートメントコーディネーター兼矯正エデュケーター 川端>





































































初回予約はこちら

採用情報