【矯正ブログ】スタッフトイ編④:マウスピース矯正『インビザライン』80日目経過&オルソパルス
こんにちは。
ヨリタ歯科クリニック
デンタルコーディネーターのトイです。
今回は 【光加速矯正装置オルソパルス】の紹介と
80日目までの経過をお伝えしようと思います。
★40日目
堅いものを食べるときに、少し奥歯が痛くなり始めました。
大きく強制力がかかっている歯や、今動いている歯なので仕方ないことなのですが
初めてのことだったので驚きの反面、順調に動いてきていることが
実感できて嬉しいです。
全く噛めない、食べれないとかではないので、今のところ
私生活に支障はありません。
★70日目
今日から、顎間ゴムデビュー!
私は顎間ゴムを併用していて(私の場合は上顎前突、いわゆる出っ歯 なのでII級ゴム)
出ている前歯を奥歯側に移動させるために、上の両八重歯から下の両奥歯にゴムをかけて
奥に引っ張るように力をかけていたのですが、そのゴムをかけるところが
ゴムの力でそりかえってきて、唇に当たって痛い!
最初にもらっていたヤスリで、丸めて対応しました。
顎間ゴムを併用する方は、このような事も起こり得るので
最初は驚くかと思いますが、ヤスリで丸めたらすぐに大丈夫になるので
心配ないかと思います!
口を開けると少しだけ抵抗力がかかるので、開けにくさはありますが
喋りづらさなどはありません!
★83日目
今日から、光加速矯正装置オルソパルス開始!
オルソパルスは、口にはめる小さな装置で、近赤外線を口内に照射することで
細胞を活性化させ、骨や軟組織などの再形成を促進。
さらに、痛みを和らげる効果もあります。
オルソパルスを併用するメリットは
■矯正の治療期間を、短くできる
■矯正治療に伴う、痛みや不快感を軽減
と、良いところがたくさんです。
照射中は、じんわり温かい(^ν^)
補足で、オルソパルスは6時間フル充電で
10分と少ししか使えないので燃費悪め…
上5分、下5分で照射したら
ちょうど充電がなくなるのできっちり一回分です。
マウスピースを新しいものに変えたばかりのときは
当然フィット感がないので、多少痛みを感じるのですが
オルソパルスのおかげで、その痛みがかなり軽減されて感動でした。
ありがとう、オルソパルス!!!!
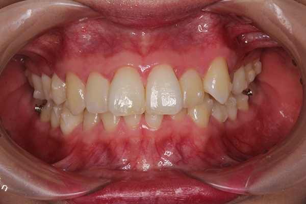
写真は、オルソパルスと、矯正開始から80日経過の口腔内写真です。




上の歯に隙間が空いていて、こうして見てみると面白いですね(笑)
下の歯の横の銀色のボタンは、顎間ゴムをひっかけるためのものです!
ではまた、次回もお楽しみに〜〜♥♥♥
<デンタルコーディネーター トイ>





































































初回予約はこちら

採用情報