【矯正ブログ】スタッフ川端編②:インビザライン矯正治療1ヶ月目
こんにちは!
トリートメントコーディネーター兼矯正エデュケーターの川端です(*^_^*)

インビザラインを初めてから、1ヶ月が経ちました!
今回は、
「つけ始めて、どうだったか?」
「痛みは、どうなのか?」
ということを、具体的にお話したいなと思います。
まず、つけてみた時の感想ですが
分かってはいましたが、歯の周りに、はめた感覚が(笑)
“圧痛(あっつう)”と言ったりするのですが、
圧迫感みたいな感じが、少しありました。
ですが、これもほんの10分15分も
しないうちに、忘れていました!
圧迫感より、
若干舌が回らない感じがあるな~と気になり
話しにくいという感じではなく、
舌足らずな話し方になっていました。
ですが、自分自身では、半日くらいで気にならなくなり
初めた時に、見ていただいていた衛生士さんからも
翌日には舌足らず感、無くなったね!と言われました(^_^)
一安心です。
なので、個人差はありそうですが、数日で慣れそうです!
もうひとつ!
痛いなと感じたところですが、
初めてマウスピースをはめたのが、お昼の2時頃でした。
少し時間が経った夕方ごろから、唇の内側(粘膜のところ)が
マウスピースと当たって、擦れてる感じがする…
すると、だんだんヒリヒリしてきました(*_*)
元々、前歯が出ているせいもあったのか
話すたびに唇が動くので、そこが擦れて痛くなってきました。
我慢できないほどでもないですし、こういうものなのかな?
とも思いましたが、診療終わりに先生に相談しに行くと…
「やすりで削ったら良いよ」とのこと!
「なんと!やすり…?!」となりましたが、
自分で、ちょっとここがあたるなと思うところを
シャカシャカシャカと、こすってみると…
全然、気にならなくなりました!
擦れる感じも、痛みも解消!
もっと早く先生に相談すれば良かった…!
とちょっぴり後悔です(゜゜)←軽く口内炎みたいになりました(笑)
と、こんなこともあったりするので
気になったことは、何でも私たちに相談して下さいね!
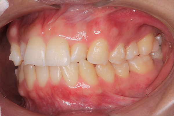
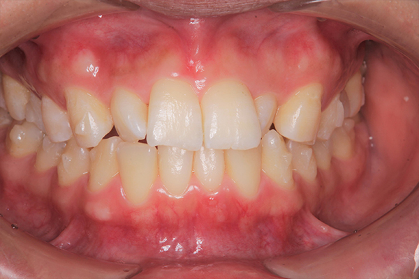
インビザライン矯正から1ヶ月後のPhoto



まだまだ、変化は分かりませんが
“アタッチメント”というものを歯につけました!
次回は、その説明と、どんな感じのものなの?
というお話を、したいと思います(*^_^*)
<トリートメントコーディネーター兼矯正エデュケーター 川端みずき>





































































初回予約はこちら

採用情報