【矯正ブログ】スタッフトイ編②:マウスピース矯正『イビザライン』開始数日経ってみて
こんにちは。
ヨリタ歯科クリニック
デンタルコーディネーターのトイです。
今回は、いよいよマウスピース矯正装置デビューの日〜数日経ってみて
について、書いていこうと思います。
当然ですが 歯列矯正の治療は、人生初めてのことなので
ワクワク、ドキドキでした。
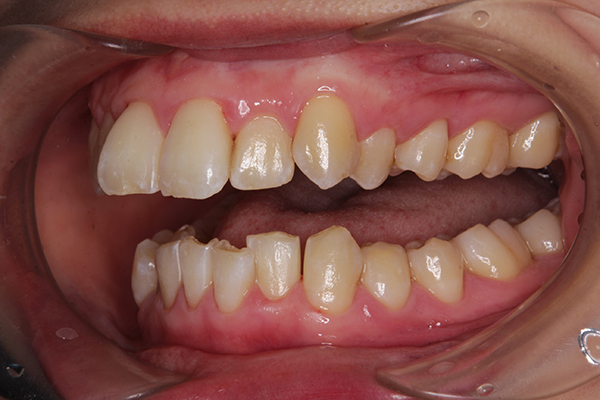
私の初日の処置として、隙間を作るためにIPR(歯を削る処置)をしました。
歯を削った時はすごい振動で驚きましたが、もちろん削っても問題のない
範囲で削るので、痛みやしみる感じはありません。
私は歯の大きさが大きいため、ガタガタを治して歯並びを整えるために
必要な隙間の量も多くなるようで、今度も何度かこのIPRをしていくこと
になります。
それぞれの歯が少しでも小さくなれば、必要な隙間の量を少なくできるし
私のように歯の遠心移動などで、抜歯を避けた非抜歯で矯正を進められます。
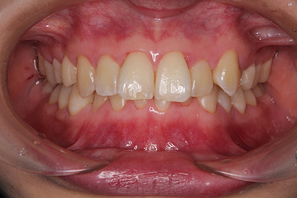
すきっ歯になったことがないので、生まれて初めてできた歯の隙間が
とても新鮮でした。
マウスピースをつけた感じとしては
一切違和感がなく
(あれ?これ着いてる?)てくらい自然な感じです。
口の中で邪魔になることもないので
話しにくさや痛みも、この時は一切ありませんでした。
矯正装置をつけて まだまもないのに
既に、食事の時の噛み合わせも変化していました。
マウスピースをはめているときに
噛み合わせると普通なのに、マウスピースを外してカチカチ噛むと
もう既に矯正前の噛み合わせではなくなっていて
改めて矯正ってすごいなぁと感動しました。
IPRで、歯に隙間ができています!


普段はマウスピースをしているので
この隙間が目立ったりすることはないので
ご安心ください^^
今回はここまで。
次回はまさかのハプニングについて、お話ししていこうと思います。
おたのしみに〜 ♥♥♥
<デンタルコーディネーター トイ>





































































初回予約はこちら

採用情報