ブラックトライアングル
桜もちらほら咲き始め暖かくなってきましたが、皆さんはいかがお過ごしですか?
花粉症に悩まされている、森岡です。
卒業の季節ですね。
ヨリタでもとても尊敬していた先輩衛生士や、ドクターが卒業され
少し寂しい気持ちです。
そんな中、あたしが卒業した事は…
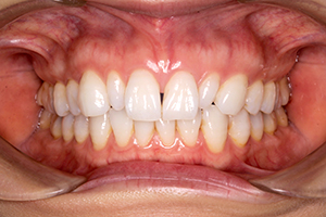
前歯の隙間です。
ブラックトライアングルと言われる
歯と歯の間の隙間です。


いかがですか?
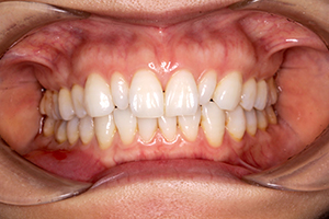
当院の歯科医師 赤松先生に、お願いしました。
とても綺麗に埋めていただけて、他の衛生士でもわからないくらいです。
ずっと気になっていた所なので、とても気分がいいです。
もし気になっている方がおられましたら、是非気軽に相談してみてくださいね。
<歯科衛生士 森岡 恵>





































































初回予約はこちら

採用情報