【矯正ブログ】スタッフ青木編⑤:インビザライン矯正8ヶ月後
こんにちは!
歯科衛生士の青木です。
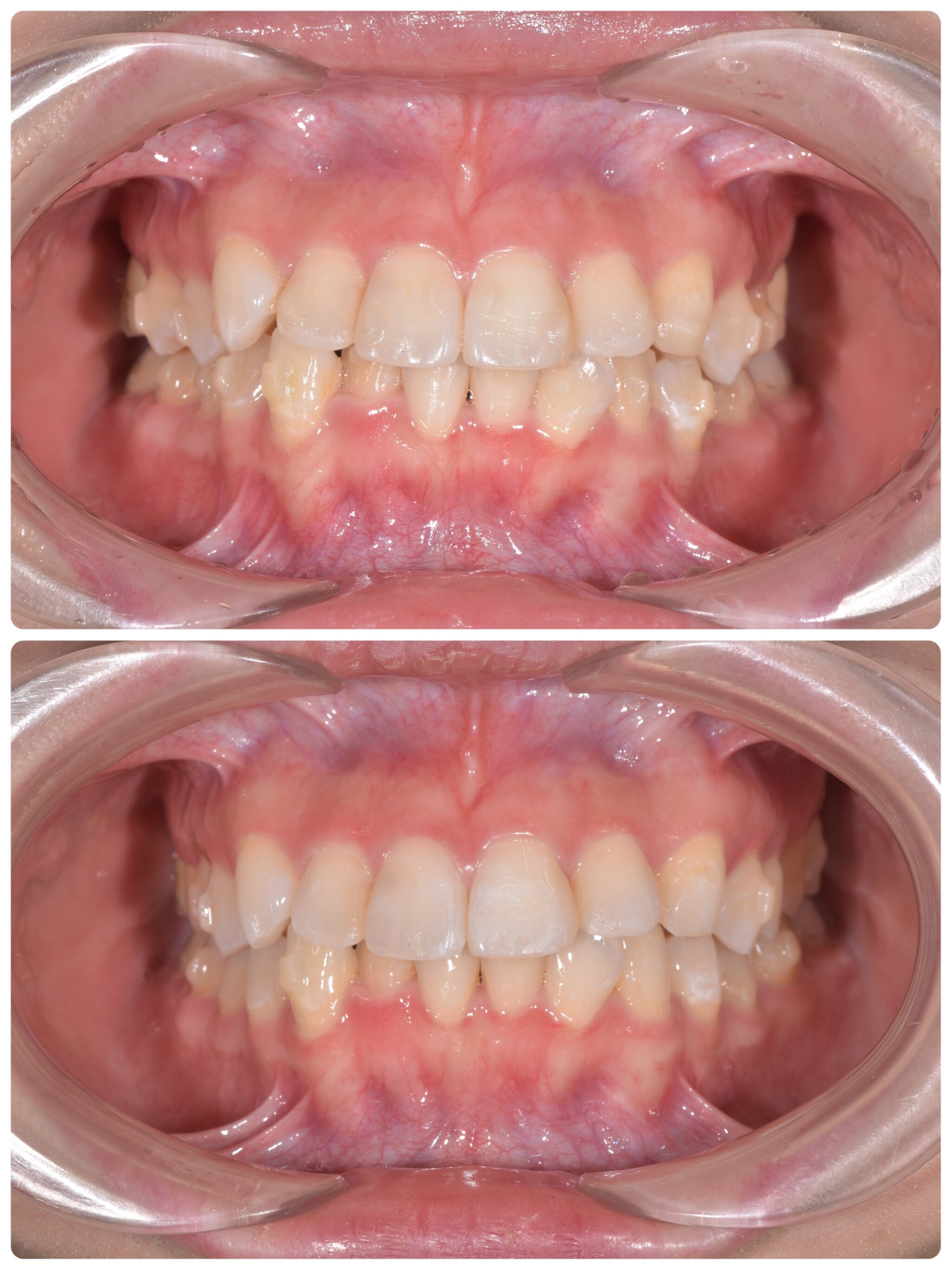
次は正面からの経過です。

1枚目は
約3ヶ月から約6ヶ月までの変化、
2枚目は
約6ヶ月から約8ヶ月までの変化です。
初めからとても悪い歯並びだとは自分でも思ってはいませんでしたが、
整った歯並びを見ると、口元がすっきりしたような印象があり、
自分の口元を前より鏡で見るようになりました。
噛み合わせも以前は深く噛み、
真っ直ぐ立っていない歯があったため、
上の歯と下の歯を噛み合わせた時に
歯の真上から正しく負荷がかかっていませんでした。
しかし矯正したことにより
一本一本の歯がしっかり真っ直ぐ向いて、
上の歯と下の歯が力を分散できています。
ここからもう少し理想の歯並びにしていきます。
<歯科衛生士 青木>





































































初回予約はこちら

採用情報