【矯正ブログ】スタッフ青木編③:インビザライン矯正その後の経過
こんにちは!
歯科衛生士の青木です。
インビザラインのその後の経過です。
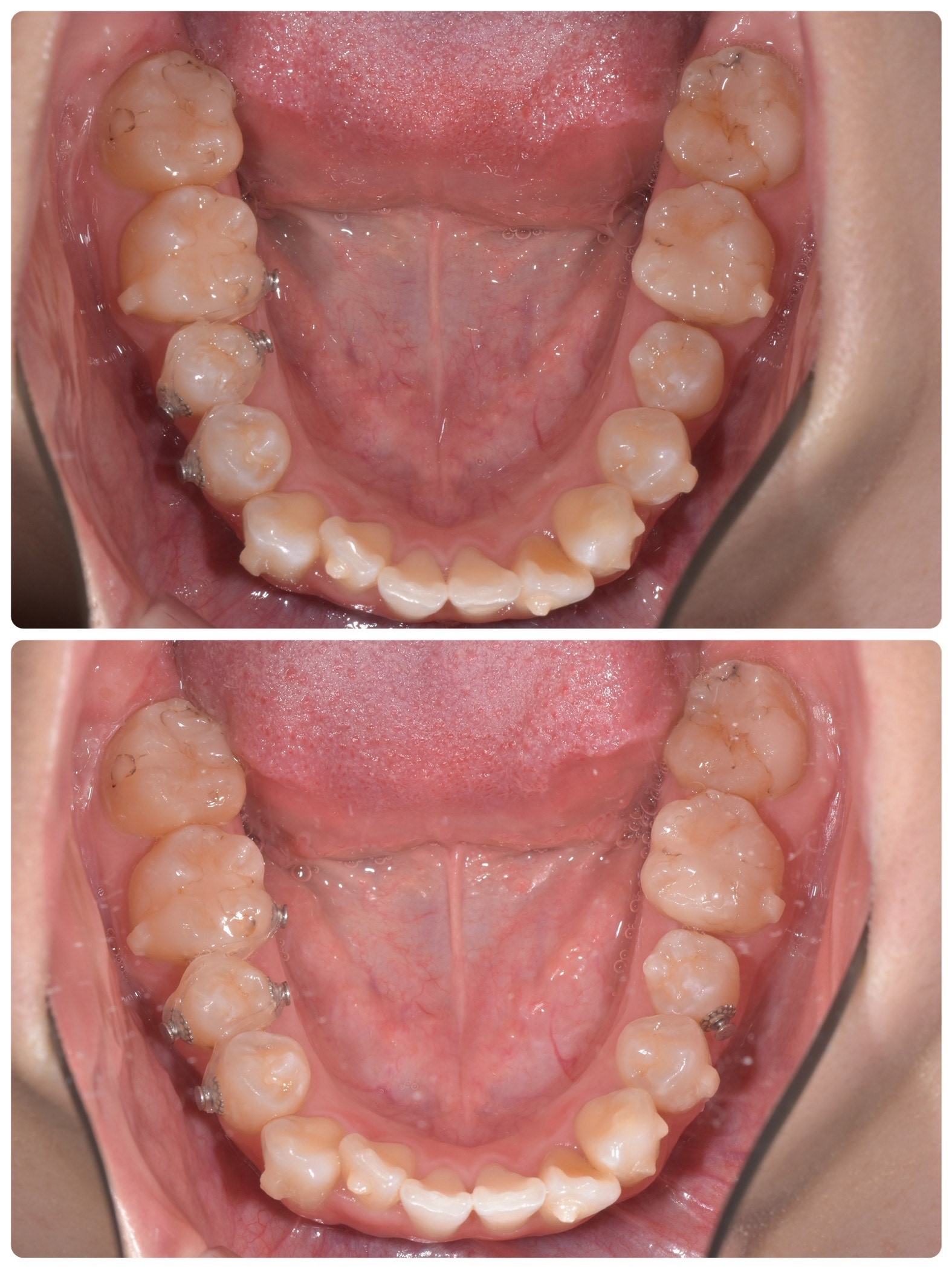
私は下の歯の奥から3番目の歯が、少し回転したように両方生えています。
これを歯の捻転といい、ねじれた様に生えているのでそのように
名前がついています。
初めて3ヶ月頃から
その捻転した歯が中々上手く動かなくなりました。
そこで担当のDrに相談しました。
歯の中でも動きやすい歯や、動きが鈍い歯があります。
そのためこの写真の様に「ボタン」と呼ばれる金属の丸い器具をつけて、
そこにゴムを引っ掛けて歯の動きを促す治療をして頂きました。

上の写真はゴムをかける前、
下の写真はその後1週間の写真です。
マウスピースが合わなくなってくると不安な気持ちになりますが、
このように個々の歯に対応をして、矯正を進めていくことが出来ます。
<歯科衛生士 青木>





































































初回予約はこちら

採用情報