【矯正ブログ】ドクター吉村編① インビザライン矯正スタート!
こんにちは。
歯科医師の吉村です。

普段、患者様にオススメしているインビザラインでの矯正治療を
この度、私自身始めました!
実は中学生の時にワイヤー矯正の経験がありますが、
少し気になるところが出てきた事と、患者様のお気持ちもわかるし、
気になるところも治療できるし、一石二鳥ということで開始しました。
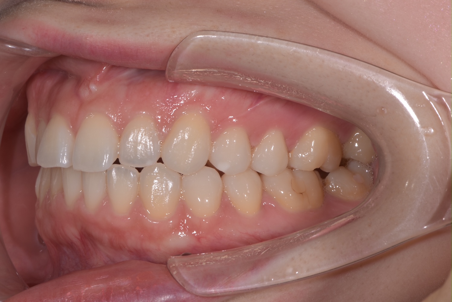
私の、最初の歯並びはこちら。


また経過や気づいた事など載せようと思います。
楽しみにしていて下さい。
こんにちは。
歯科医師の吉村です。

普段、患者様にオススメしているインビザラインでの矯正治療を
この度、私自身始めました!
実は中学生の時にワイヤー矯正の経験がありますが、
少し気になるところが出てきた事と、患者様のお気持ちもわかるし、
気になるところも治療できるし、一石二鳥ということで開始しました。
私の、最初の歯並びはこちら。


また経過や気づいた事など載せようと思います。
楽しみにしていて下さい。