将来、できるだけ
抜歯や大がかりな矯正をしなくてよいよう、
今から土台づくりをしていきます。
まずは無料相談から。
ネット予約・電話・LINEでお気軽にどうぞ。
こうした「くせ」や「息のしかた」が続くと、正常な成長が促進されず、
歯が並ぶスペースが足りなくなります。
当院は、マウスピースとトレーニングで、
原因から整える治療を大切にしています。
口がポカンと開いている、
口で息をしている

指しゃぶりや爪・くちびるを
噛むくせがある

ことばがはっきり
しにくい音がある

いびきをかく、
姿勢が丸くなりがち

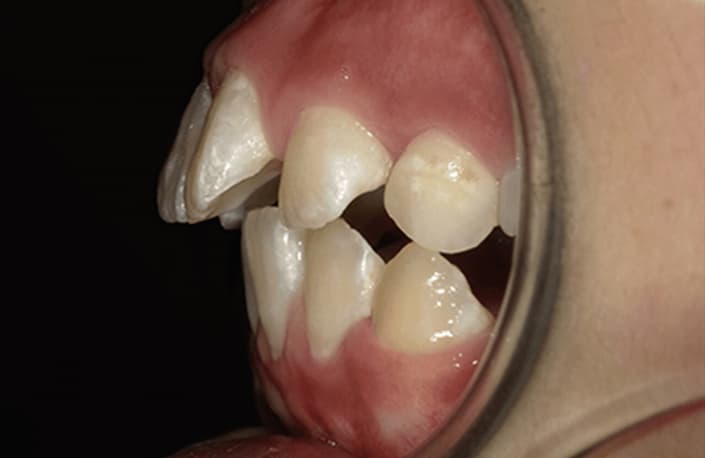
歯がガタガタ、
すき間が広い

出っ歯・受け口、
前歯が閉じない

口周りの筋肉がうまく使えず、
笑顔がぎこちない

夜の寝ている時と日中1時間にマウスピースを着用します。また、毎日5分程度簡単なトレーニングを実施して頂きます。

鼻で息をする、舌を正しい位置に置く、飲み込み方や口の周りの筋肉の使い方、良い姿勢などを少しずつ身につけます。

原因から整えることで、あごが広がりやすくなり、これから生える大人の歯が並びやすくなります。

メリット
- 痛みが少ない、取り外しできる
- 原因から整えるので、後戻りを減らす助けになる
- スタッフがやさしくトレーニングをサポート(月1回来院)
向いているお子さま
- 5~8歳で、口呼吸・舌のくせ・飲み込み方が気になる
- 歯が並ぶスペースが足りない、上あごがせまいなど
注意点
- マウスピースをつける時間と、日々のトレーニングを実施することが大切
- 場合によっては、ほかの装置を一時的に組み合わせることがある
向いていない/注意が 必要なお子さま
- 決めた時間の装着がむずかしい
- 毎日のトレーニングができない
- 骨格のズレが大きい場合は、別の治療を足すことがある
6~10歳ごろの「子どもの歯と大人の歯が混ざっ ている時期」に使える、透明で目立ちにくいマウスピース矯正です。

これから生える歯のスペースづくり(あごを広げる動き)と、今ある歯ならびの調整を、同じ仕組みの中で進められます。

食事・歯みがきの時は外せるので衛生的です。

メリット
- 目立ちにくく、口の中を傷つけにくい
- 1人ひとりに合わせた計画で、ゴールを共有しやすい
- ふだん通り食事・歯みがきOK
向いているお子さま
- 見た目が気になる、装着時間を守れる
- あごを少し広げながら、歯ならびも整えたい
注意点
- 毎日の装着時間を守ることが結果につながる
- 歯の成長段階によっては、始める時期を調整することがある
向いていない/注意が 必要なお子さま
- 装着時間の管理がむずかしい
- 骨格のズレが大きい場合は、別の装置や治療を足すことがある
原因と結果、両方にアプローチ
マイオブレースで「くせ・息のしかた・舌の位置」など原因から整え、インビザライン・ファーストで「歯ならびそのもの」を整える。両方を合わせることで、仕上がりの安定と後戻りの予防につながります。
成長のチャンスを活かす
5~8歳は最もあごが成長する時期。くせを直して正常な成長を促します。ある程度大人の歯が生えてきたら、インビザライン・ファーストでスペースづくりと歯ならび調整を同時に進めます。時期に合わせて、始め方や切り替え方を柔軟に決めます。
お子さまに合わせて無理なく
基本的には、「マイオブレースから始めて、慣れてきたらインビザライン・ファーストへ」という流れで治療を行います。お子様の性格や生活リズム、成長に合わせて、最適な計画をご提案します。
初回無料相談
お悩みをうかがい、お口の中をチェック。治療の考え方や選択肢をご説明します。装置の見学や、だいたいの進め方のイメージ共有もできます。予約はネット・電話・LINEでどうぞ。

検査と診断
歯科用レントゲンやお口の中をスキャンする機械で、歯やあごの状態をくわしく確認。鼻呼吸や舌の位置、飲み込み方、姿勢も確認し、始めるタイミングと計画を決めます。

マイオブレース開始
夜+日中1時間の装着。月1回のチェックで、鼻で息をする練習、舌の位置、飲み込み方、口の周りの筋肉の使い方、姿勢のコツを、楽しく身につけます。

必要に応じて補助装置
スペース不足が強い時は、あごを広げる装置などを短期間使うことがあります。目的と期間を事前にしっかり説明します。

インビザライン・ファーストへ移行(または併用)
歯の生えかわり具合や装着の様子を見て、透明のマウスピースへ。つけ外し・お手入れ・1日の装着時間を一緒に確認し、定期的に新しいマウスピースに交換します。

仕上げと保定
歯ならびとスペースを確認し、保定装置でキープします。鼻呼吸や舌の位置など、身についた良いくせを続けられるようサポートします。大人の歯が生えそろうまで、成長に合わせて見守ります。大人の歯が生えそろった段階で再度評価し、第2期治療に入ることもあります。

- いつから 始めるのがよいですか?
- 5~8歳ごろに始めるのがおすすめです。5歳ごろからくせを直し、大人の歯並びの土台が決まる6歳臼歯が生えてきた頃に、インビザライン・ファーストに移行します。移行時期は6~10歳の混合歯列期が目安ですが、実際はお子さまの「歯の成長」を見て決めます。
- マイオブレースは、どのくらいつけますか?何をするのですか?
- 「夜寝ている時+日中1時間」に着用します。加えて、鼻で息をする練習、舌の位置、飲み込み方、口の周りの筋肉の使い方、姿勢の練習など、月1回のトレーニング行い、少しずつくせの改善を図ります。
- インビザライン・ファーストは痛いですか?どのくらいつけますか?
- 新しいマウスピースに替えた直後は、軽い違和感が出ることがありますが、多くは数日で慣れます。毎日20時間以上の装着時間を守ることがおすすめです。学校生活や歯磨き習慣などをヒアリングしながら進めていきます。
- どんな歯ならびに向いていますか?
- ガタガタ、受け口、開咬(前歯が閉じにくい)、深いかみ合わせ、出っ歯、スペース不足などに、早い時期から取り組めます。骨格のズレが強い場合は、装置を足したり、別の治療を組み合わせることがあります。
- 口呼吸や舌のくせは、よくなりますか?
- コツコツ取り組めば改善が期待できます。マイオブレースは、鼻呼吸・舌の位置・飲み込み方を身につけるためのトレーニングが中心です。ご家庭での協力が成果のカギです。
- 通院はどれくらいの間隔ですか?
- 目安は月1回です。トレーニングの確認や、装置・マウスピースのチェックを行います。
- 食事や歯みがきに制限はありますか?
- 基本的にふだん通りでOKです。食事と歯みがきの時は装置を外せるので、清潔に保ちやすいです。
- 期間はどれくらいかかりますか?
- お子さまの成長や歯の生えかわり、協力度によって異なります。第1期で土台を整え、第2期は最小限で済むように進めます。検査や定期チェックで見通しをお伝えします。
- デメリットや注意点はありますか?
- 装着時間やトレーニングを守れないと、効果が出にくくなります。骨格のズレが強い場合は、ほかの装置やワイヤー矯正が必要になることがあります。破損・紛失時は再作成が必要です。
- 治療後、元に戻りませんか?
- 後戻りを減らすには、原因(くせ・息のしかた)を整えることと、治療後の「保定」が大切です。当院はトレーニングの定着と保定の両方をしっかりサポートします。
費用
一般症例
第1期 495,000円(税込)
第2期 385,000円(税込)
難症例
第1期 605,000円(税込)
第2期 385,000円(税込)
※第1期では、トレーニング代(回数分・保険診療)が別途かかります。
※追加費用の例:装置の再作成・破損・紛失、予約変更にともなう再手配などは、別途費用がかかる場合があります。
※第1期治療のみで完了し、第2期治療を行わない可能性もあります。
※第2期で、インビザラインバーチャルケア(オンライン診療)代の¥5,500(税込)が別途かかります。
お支払い方法
月々の支払い例
(デンタルローンの一例)
- 例1:88万円を60回・年率3.9%
→ 月々約16,200円前後 - 例2:99万円を84回・年率3.9%
→ 月々約13,400円前後
マイオブレース及び
インビザラインファーストは
薬機法の対象外です。
1.未承認医薬品であること
マイオブレース及びインビザラインファーストは薬機法上対象外の医療機器です。医療機器としての矯正装置に該当しないため、薬機法上の承認を得ていません。
マウスピースに使用される材料そのものは薬事承認をされておりますので、安全にご使用いただけます。
2.国内の承認医薬品等の有無
マウスピース型矯正装置は、マイオブレースやインビザラインファーストの他にも様々な種類があります。
その中には、条件を満たして薬事承認をされているマウスピース型矯正装置も国内でいくつか存在しています。
3.諸外国における安全性等に係る情報
マイオブレースは世界で100ヵ国以上で矯正治療において使用されており、過去30年の同社研究結果において、顎の発育不全や悪い歯並びの原因治療に対し有効であることが証明されています。
インビザラインファーストは、世界100カ国以上で、これまでに800万人を超える症例数がある治療です(2020年1月時点)。
4.入手経路等
マイオブレースはMyofunctional Research Company(MRC)より入手しております。 インビザラインファーストは、アライン・テクノロジー社、またはその日本法人であるアライン・テクノロジー・ジャパン株式会社より入手しています。
5.医薬品副作用被害救済制度について
医薬品副作用被害救済制度について万が一重篤な副作用が出た場合は、国の医薬品副作用被害救済制度の対象外となります。





































































初回予約はこちら


採用情報