【矯正ブログ】スタッフ川端編①:インビザライン矯正治療1回目
こんにちは!
マウスピース矯正エデュケーターの、川端です。

マウスピース矯正に携わるようになって、子どもたちが
毎日、歯並びを良くしていくために、一緒に頑張っていると
私自身も、普段から歯並びを気にかけるようになってきました。
最近では、矯正している子どもたちの経過写真を撮るたびに
自分の歯並びと比べて、
“きれいになってるな~”
“良いな~、私のほうがガタガタかも”
と感じることが増えてきました。
矯正エデュケーターは、話すだけではなく
見本を見せることが多いので、口腔内を見せる機会が
どうしても多くなります。
子どもたちは、どんどんきれいになっていくのに
私はガタガタのまま…
ということが、気になり始めると、本当に気になってしまって、
私も、矯正をしたくて、したくて、たまらなくなってきました((+_+))
ということで!
私も矯正を始めました!
大人の矯正と聞くと、針金のワイヤー矯正が思い浮かぶ方が多いと思います。
私が初めたのは、これです!

私が始めた矯正は、今までのワイヤーを使ったものではなく
透明のマウスピースを使った
『インビザライン』という、マウスピース矯正です

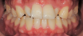
見て下さい、これ矯正してるんです( *´艸`)
パッと見た感じ、矯正しているのか分からないと思います。

「マウスピース入れてるよ」
と、近くで言われて見てみると、分かるくらいです。
今のご時世、ソーシャルディスタンスを保つと、本当に分かりません(*^_^*)
私的に一番嬉しいのが、取り外しができることです!
食事中と歯磨きをする時に、マウスピースを取るのですが
マウスピースを取ることで、歯磨きやフロスが普段通りに出来るんです♪
虫歯的にも、歯周病的にもリスクを減らして、過ごしていけるのも安心です。
今後は歯並びの変化や、感じたことなどを書いていこうと思います!
「私もしたいな~」と思ったり、
「実際どんな見た目なの?」と
気になった方は、相談だけでも大丈夫なので、いつでも聞いてくださいね☆
もちろん、インビザライン矯正の相談は、無料です♪
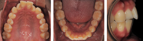
矯正スタート時の、私の歯並びです。

ガタガタで少し恥ずかしいですが、きれいにしていくために、頑張っていきます!
<矯正エデュケーター・トリートメントコーディネーター 川端 みずき>





































































初回予約はこちら

採用情報