【矯正ブログ】スタッフ青木編④:インビザライン矯正6ヶ月後
こんにちは!
歯科衛生士の青木です。
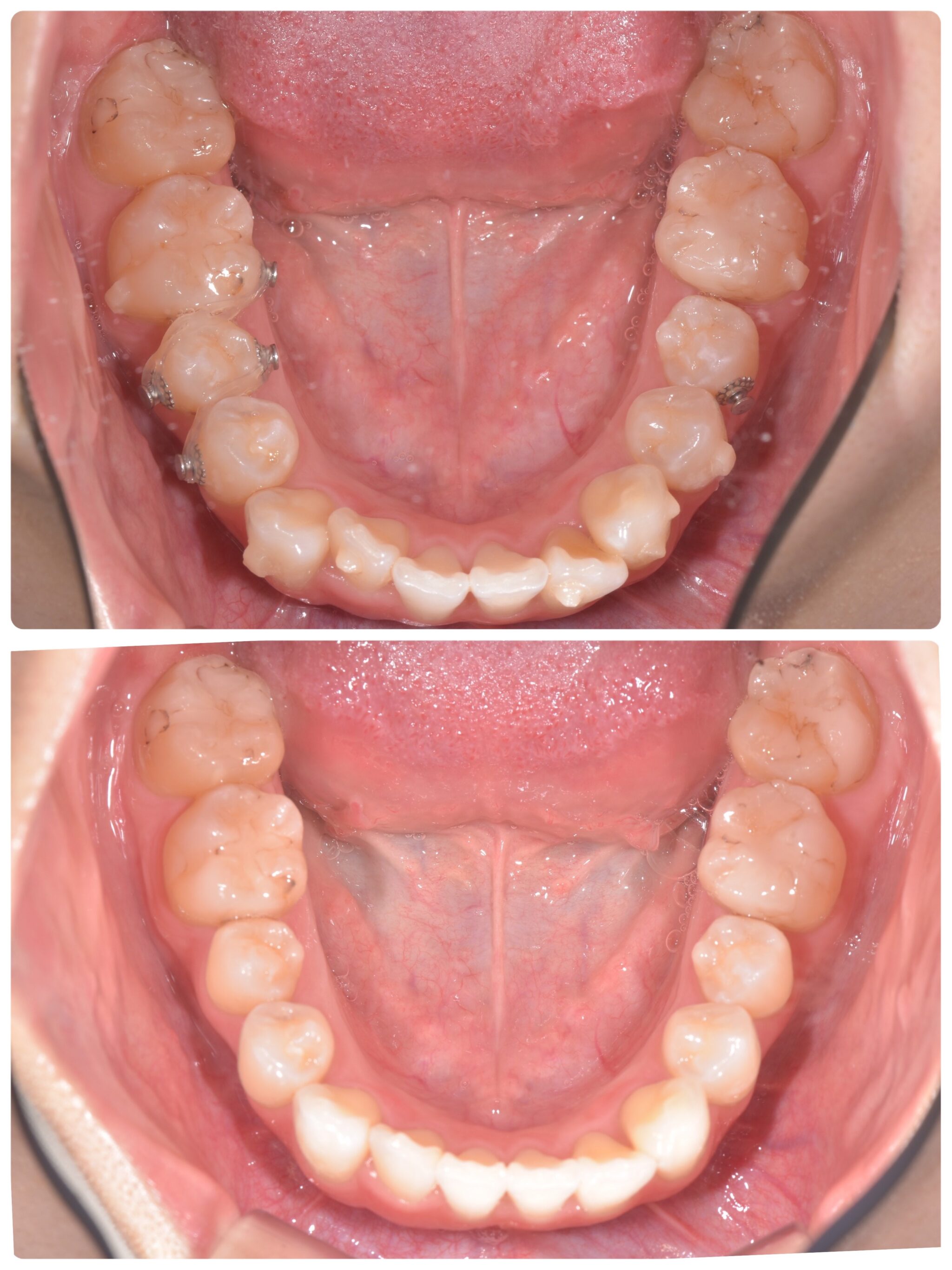
その後の下の歯の経過です。
ゴムをつけてから、ある程度動かしたあと
3ヶ月経過しました。
インビザラインを初めてからは6ヶ月になります。

写真左側の奥から3番目の歯の捻れは、かなり改善されました。
右側も前に比べて、捻転が改善されているのが分かります。
下の前歯のガタつきも揃ってきました。
この後、更に理想の歯並びにするため、追加のマウスピースを作成
していくことになりました!
<歯科衛生士 青木>





































































初回予約はこちら

採用情報